La excelencia clínica traspasa fronteras
En Clínica New Dental, la búsqueda de la perfección estética y la salud bucodental es nuestro motor diario. Hoy estamos especialmente orgullosos de compartir una noticia que avala la calidad de nuestro trabajo a nivel internacional: un tratamiento realizado por nuestra directora clínica, la Dra. Tania Álvarez Rodríguez, ha sido seleccionado como el «Case of the Month» (Caso del Mes) por la prestigiosa firma dental Kulzer.
¿En qué consiste este reconocimiento?
Kulzer, uno de los fabricantes líderes mundiales en materiales odontológicos, selecciona periódicamente casos clínicos excepcionales que destacan por su técnica, precisión y resultado estético.
En la edición de junio de 2024, el caso de la Dra. Álvarez fue el elegido para ser presentado a la comunidad odontológica global («Be part of it«), destacando su habilidad para manejar los materiales de última generación y conseguir resultados hiperrealistas.
«La Dra. Tania Álvarez ofrece ideas fascinantes que no te puedes perder. ¡Descubre el caso de tu colega aquí!» — Kulzer US & Global Community.
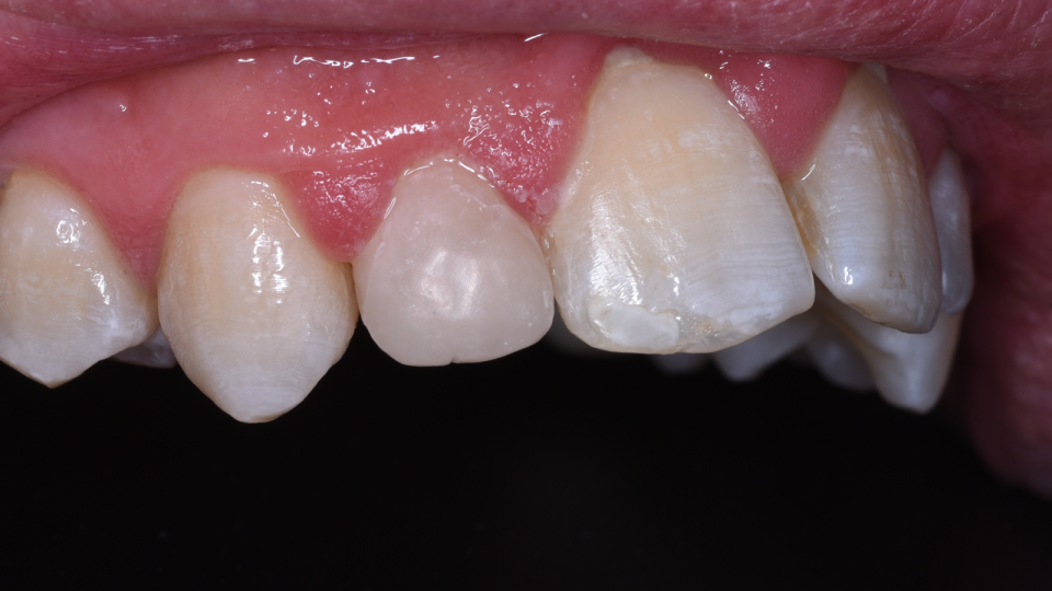
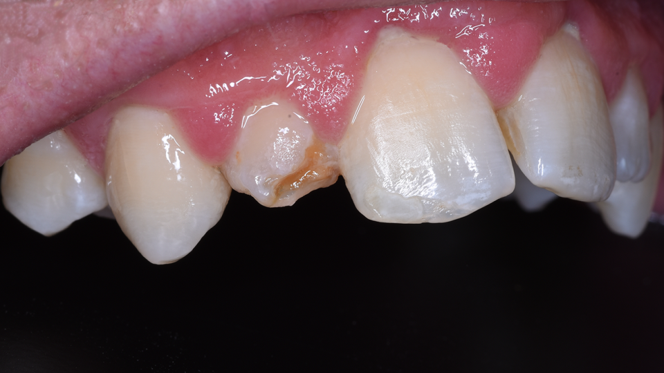
El Caso: «Simplificación sin sacrificar la estética»
El tratamiento premiado destaca por el uso de la tecnología Venus Diamond Pure Shades. La Dra. Tania utilizó una técnica de estratificación monocromática con el color Light.
¿Qué significa esto para ti como paciente? A menudo se piensa que para lograr una estética perfecta se necesitan procedimientos complejos y largos. Sin embargo, este caso demuestra la maestría de la Dra. Tania:
- Mimetismo Excepcional: Logró que el material de restauración se integrara invisiblemente con el diente natural.
- Mínima Invasión: Al utilizar técnicas avanzadas de adhesión y modelado.
- Resultados Naturales: Se consiguió devolver la armonía a la sonrisa con un acabado brillante y resistente.
Como destacó la propia marca: «¡Simplificación sin sacrificar la estética!».

Una experta en Diseño de Sonrisas
Este reconocimiento no es casualidad. Es el resultado de la sólida formación de la Dra. Álvarez, quien posee un Máster en Estética Dental Avanzada (UCM) y es Experta Universitaria en Diseño de Sonrisas y Planificación Digital (UCAM).
Su enfoque combina la Neurociencia del dolor (para un trato suave y empático) con la precisión artística, asegurando que cada carilla, restauración o diseño de sonrisa no solo sea bonito, sino funcional y cómodo.
¿Quieres ver el caso completo?
Si tienes curiosidad por ver la transformación y el nivel de detalle técnico que ha cautivado a expertos internacionales, puedes consultar la publicación oficial en los siguientes enlaces:
- 👉 Ver el caso en la web de Kulzer: Click aquí
- 👉 Descubrir más casos de éxito: Comunidad Venus
Pon tu sonrisa en manos expertas
Si estás pensando en mejorar tu sonrisa, ya sea mediante carillas, blanqueamiento o un diseño integral, elige calidad certificada. En Clínica New Dental, te atiende una especialista cuyo trabajo es referente para otros dentistas en el mundo.
¿Listo para tu propia transformación?