Diseño de Sonrisa y Estética dental en Toledo

Tratamientos mínimamente invasivos con reconocimiento internacional.
Dirigido por la Dra. Tania Álvarez

Reconocimiento Internacional a la Excelencia Clínica.

La Dra. Tania Álvarez ha sido galardonada con el ‘Case of the Month’ (Caso del Mes) por Kulzer, líder mundial en materiales dentales. Su dominio en la estratificación con Venus Diamond Pure Shades le permite recrear la naturalidad del diente con una precisión que ha sido destacada a nivel global. La clínica liderada por la Dra Tania es referente en estética dental en el Polígono de Toledo y Polígono Santa María de Benquerencia.

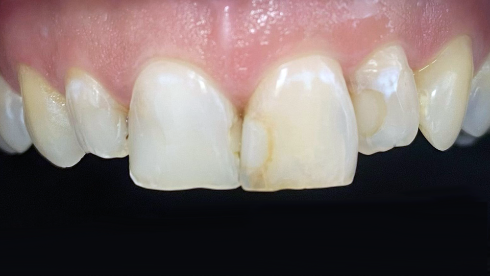
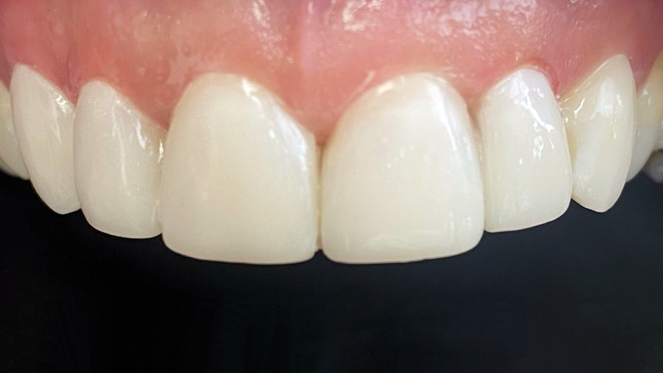
Caso 1: Reparación Invisible 

Reparación directa de fractura en carilla de composite antigua. Restauración invisible logrando un mimetismo excepcional sin sacrificar estructura dental.

Antes Después

Caso 2: Repación de pieza fractura hace 10 años.

Reparación directa de carilla compuesta fracturada de hace 10 años de antigüedad.

Antes Después

Caso 3: Restauración Invisible 

Restauración invisible logrando un mimetismo excepcional sin sacrificar estructura dental.

Antes Después

Estética facial con ácido hialurónico

Consiste en infiltrar en la piel ácido hialurónico en forma de gel, de forma indolora porque se hace bajo anestesia local, es hipoalergénico ya que es una sustancia que se produce naturalmente en el cuerpo, principalmente en la piel, pero que se va perdiendo a medida que envejecemos y reabsorbible. Importante señalar que aunque se reabsorba el producto nunca volvemos a la situación de partida.

El objetivo de esta técnica es conseguir un relleno dérmico en el tratamiento de arrugas, cicatrices, deformidades de contorno y aumento o disminución de labios.

Blanqueamiento dental

Es el sistema o técnica empleada para aclarar el color de los dientes, consistente  en aplicar unos productos sobre la superficie frontal del diente, y que puede ser complementada con la aplicación de luz láser o calor. Está indicado en dientes con tinciones leves, decoloraciones amarillentas y dientes oscurecidos. Desarrollamos dos formas principales:

Blanqueamiento dental clínico:  Se aplica el agente blanqueante a altas concentraciones complementado siempre con el uso de luz o calor. Se realiza en la consulta y en una sóla sesión.

Blanqueamiento ambulatorio: Se hacen unos moldes de las arcadas superior e inferior, donde se colocará el agente blanqueante a una menor concentración y se procederá a su aplicación diaria durante un máximo de 15 días.

Carillas de porcelana

Es una restauración indirecta que cubre toda la cara frontal del diente y que se suelen realizar sólo en dientes anteriores. Para su preparación es necesario un tallado mínimo, por lo que es una buena alternativa a los blanqueamientos cuando hay un problema estético mayor.

Coronas de zirconio porcelana

Uno de los más importantes avances en el campo de la Odontología consiste en la utilización del zirconio para realizar tanto coronas sobre raíces naturales o sobre implantes como estructuras completas en las rehabilitaciones fijas sobre implantes.

El zirconio nos permite sustituir muy ventajosamente las aleaciones de metal y cerámica que hasta hace poco tiempo eran el único sistema empleado en este tipo de rehabilitaciones.

La sustitución del metal en las estructuras nos permite ofrecer al paciente una mayor biocompatibilidad de la prótesis, que será mejor tolerada por la encía, así como evitar el riesgo de alergias a metales en personas predispuestas.

Otro factor importante para recomendar la prótesis cerámica en zirconio es sin duda la estética. Al tratarse de un material blanco y translúcido nos permite realizar prótesis de aspecto aún más natural y luminoso. Por otro lado, al carecer de estructura metálica bajo la cerámica, nunca se verán bordes grises en el caso que la encía se retraiga con el paso del tiempo.

CORONA SOBRE IMPLANTES poligono Toledo Madrid

Es una restauración directa de un laminado de composite sobre la superficie frontal de los dientes. El composite es una pasta hecha a base de resina acrílica que se mezcla con partículas de cerámica y que cuando se produce contacto con una luz halógena potente, llega a tener la dureza muy parecida a la de los dientes humanos.

Las carillas de composite permiten aumentar el tamaño de los dientes, cambiar su forma y color para mejorar la estética de la sonrisa 😁. También se usan para cerrar diastemas o espacios entre los dientes y son ideales para corregir pequeños defectos de posición.  En la clínica New Dental puedes ponerte carillas de composite en Toledo y Polígono de Toledo para mejorar tu estética dental. 

Más información

Clínica New Dental. Especialistas en Carillas de composite en Toledo